![]() |
第1弾 Wheelchair playerへの道 車椅子100mからはじまる 〜 陸上競技(参加選手約1,200人) 〜 駒沢オリンピック公園総合運動場にて 第41回 東京都身体障害者スポーツ大会 第二位(1991年) |
![]() |
![]() |
再起不能とまで言われた三年間の車椅子生活を経て
![]() |
長いリハビリ期間中のひとこま
![]() |
No.01
左経骨エナメル上皮腫
(8才で発症、その後24才まで運動は全く×)
![]() |
No.02
左経骨切断、右足の腓骨(膝と足首の間の細い骨)を移植
(中学三年で手術、その後三年動けず)
![]() |
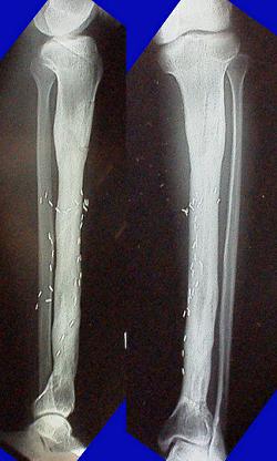
No.03
骨折(三年間で5回骨折を繰り返す)
![]() |
No.04
上下のボルトを抜く
(一年後)
![]() |
No.05
腫瘍発症
(一年後)
![]() |
No.06
切除、人工骨移植
(二年後)
![]() |
No.07
移植後支障なし
(一年後)
![]() |
No.08
経過観察。
(五年後)
![]() |
No.09
左変形性膝関節症により高位脛骨骨切り術+内側半月板縫合術
(20年後)
しかし、骨のガンであるには違いなく
いずれ肺に転移し、死に至る可能性大。